1. Živeti z EMS

Sevanje je oblika energije, ki se kot elektromagnetno valovanje ali v obliki delcev širi skozi prostor in snov. Sevanje, ki ga določa frekvenca ter pripadajoča energija, je prisotno povsod v našem okolju ter človeka spremlja že ves čas njegovega razvoja. Dnevno se srečujemo s svetlobo, toploto, sevanjem radioaktivnih snovi, kozmičnim sevanjem, sevanjem oddajnikov in mobilnih telefonov, daljnovodov, transformatorskih postaj, gospodinjskih in drugih električnih in elektronskih naprav. Sevanje prihaja tudi iz vesolja in zemeljske skorje, saj minerali, ki jo sestavljajo, vsebujejo radioaktivne elemente. Tudi živa bitja so vir sevanja, saj oddajajo toploto, sevajo pa tudi zaradi radioaktivnih snovi, ki so prisotne v človekovem telesu (v kosteh polonij in radij, v mišicah radioaktivni ogljik in kalij).

Informacij, ki jih nosi elektromagnetno sevanje (EMS) izven vidnega dela spektra, človeška čutila ne zaznavajo neposredno. Ker pa v naravi obstajajo elektromagnetna sevanja v vseh območjih spektra, si lahko pri njihovi obdelavi pomagamo s tehnološkimi pripomočki. Tako lahko optično vlakno prenaša svetlobo, ki, četudi je ne vidimo, prenaša podatke. Te podatke lahko pretvorimo v zvok ali sliko. Kodiranje podatkov uporabljamo tudi pri radiu in brezžičnih komunikacijah. Visokofrekvenčna EMS prenašajo podatke tako, da spreminjajo (modulirajo) bodisi frekvenco bodisi amplitudo nosilnega signala. Ta EMS pod določenimi pogoji lahko negativno vplivajo na naše zdravje in okolje.

Na vrh

2. Statična magnetna polja

Statična magnetna polja, kakršna so tista, ki jih generira permanentni magnet, se s časom ne spreminjajo in kot taka nimajo frekvence (0 Hz).

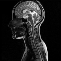
Umetno proizvedena magnetna polja nastanejo vedno, ko se elektrika uporablja v obliki enosmernega toka (DC), na primer v nekaterih železniških sistemih, pri proizvodnji aluminija in pri varjenju. MRI naprave v medicinske namene uporabljajo statično magnetno polje za izdelavo tridimenzionalnih posnetkov možganov in drugih delov telesa. Pri tej aplikaciji lahko izpostavljenost preseže običajno priporočeno mejno vrednost in sicer tako za osebje kot za pacienta.

Izsledki glede potencialnih negativnih vplivov na zdravje so nezadostni. Statično magnetno polje lahko vpliva na biološke molekule in celične komponente z magnetnimi lastnostmi, kot je na primer hemoglobin, ter na tiste z električnimi lastnostmi, kot so na primer možganske celice.

Podatki za presojo tveganja zaradi izpostavljenosti statičnim magnetnim poljem so še vedno nepopolni, učinki tako imenovanih mešanih polj, ko prihaja do interakcije statičnih polj z drugimi elektromagnetnimi polji, pa so v veliki meri neraziskani. Številne nove tehnologije, na primer naprave za slikanje z magnetno resonanco (MR), uporabljajo kombinacijo različnih polj, kar pomeni, da jih je treba posebej temeljito raziskati.

Na vrh

3. Viri nizkofrekvenčnih EMS

Nizkofrekvenčna EMS (frekvence nižje od 100 kHz) so posledica izmeničnega toka in napetosti, ki se uporabljata pri proizvodnji, prenosu in porabi električne energije. Pomembni viri so nizkofrekvenčnih EMS so daljnovodi,  električno ožičenje, generatorji, ki se uporabljajo v elektrarnah, transformatorske postaje, elektromotorji, gospodinjske naprave in številne naprave v industriji (npr. naprave za varjenje, indukcijske peči in električnih vlak).

EMS nizkih frekvenc imajo električne in magnetne komponente. Električna polja so posebej močna v bližini visokonapetostnih daljnovodov, magnetna polja pa v bližini gospodinjskih naprav, indukcijskih kuhališč in naprav za varjenje.

Na območjih, ki so dostopna ljudem, je izpostavljenost nizkofrekvenčnim EMS precej nižja od mejnih vrednosti. Če se ljudje sprehodijo neposredno pod visokonapetostnim daljnovodom, je nivo izpostavljenosti tem poljem razmeroma visok, vendarle še vedno znotraj priporočenih vrednosti. Nizkonapetostni daljnovodi povzročajo precej manjšo izpostavljenost, zakopani kablovodi pa skoraj nobene. V gospodinjstvih nastajajo najmočnejša polja v bližini gospodinjskih naprav, kot sta brivnik ali sesalnik.

Delavci v elektrogospodarstvu in varilci so lahko izpostavljeni visokim jakostim EMS, zato so potrebni ustrezni varnostni ukrepi. Tudi nekatere medicinske naprave uporabljajo EMS izjemno nizkih frekvenc, na primer za stimulacijo rasti kosti, blaženje bolečin in za odkrivanje rakavih sprememb.

Na vrh

4. Viri visokofrekvenčnih EMS

Visokofrekvenčna EMS, ki obsegajo frekvence od 100 kHz do 300 GHz, imajo v sodobnih komunikacijah številne aplikacije. Med najbolj znane spadajo mobilni telefoni, brezžični telefoni, lokalna brezžična omrežja in RTV oddajniki. Visokofrekvenčna EMS so prisotna tudi pri medicinskih napravah, radarskih sistemih in mikrovalovnih pečicah.

Bazne postaje in RTV oddajniki so zasnovani tako, da uporabljajo antene, ki oddajajo radijske signale. Ker se poljska jakost z oddaljenostjo hitro zmanjšuje, je večina ljudi izpostavljena le majhnemu delu maksimalne priporočene mejne vrednosti. Ljudje, ki živijo ali delajo v neposredni bližini RTV oddajnikov so najbolj izpostavljeni, saj so polja tam najmočnejša.

Mejne vrednosti so lahko presežene na nekaterih delovnih mestih (telekomunikacije, industrija, zdravstvo…) in zahtevajo posebno pozornost in takojšnje ukrepanje. Nasprotno pa so sevalne obremenitve v našem bivalnem in naravnem okolju običajno daleč pod dovoljenimi mejnimi vrednostmi in dosegajo le nekaj odstotkov pragu, pri katerem so bili ugotovljeni in strokovno utemeljeni možni vplivi na zdravje.

V medicini se uporabljajo močna visokofrekvenčna EMS za segrevanje telesnega tkiva. Ta lahko lajšajo bolečine ali uničujejo rakave celice. Tovrstna polja uporabljajo tudi za produkcijo slik možganov ali drugih delov telesa s pomočjo magnetne resonance (MR). Izpostavljenost pacientov ali medicinskega osebja lahko preseže običajne varnostne mejne vrednosti za prebivalstvo.

Na vrh

5. Učinki EMS

Učinki EMS na biološke organizme so različni glede na frekvenčno območje (statično polje, polja nizkih frekvenc, visokofrekvenčna EMS).

Znanstveno je potrjeno, da nizkofrekvenčna električna in magnetna polja v človekovem telesu lahko povzročajo nastanek polj ter tokov in imajo, če so dovolj močna, v odvisnosti od jakosti in frekvenčnega območja tudi vrsto učinkov, na primer stimulacijo vzdražnih tkiv.

Ko visokofrekvenčna (VF) EMS pri širjenju skozi prostor naletijo na živo snov, se del energije odbije, del pa prodre v globino in se absorbira v tkivu, kar se pri dovolj veliki absorbirani energiji kaže v povišanju temperature v izpostavljenem delu tkiva. Znano je, da se VF EMS zelo dobro absorbirajo v snovi, ki vsebuje veliko vode, in se pri dovolj visokih jakostih v celoti spremenijo v toploto.

Svetovna zdravstvena organizacija (SZO) je na podlagi pregleda doslej izvedenih raziskav ugotovila, da človekova dolgotrajna izpostavljenost EMS nizkih jakosti (pod znanstveno določenimi mejnimi vrednostmi) ne vpliva na njegovo zdravje. Ker obstaja nekaj vrzeli v znanju, pa SZO podpira nadaljnje raziskave, prek katerih bo mogoče bolje opredeliti tveganje. Omenjeno stališče podpirajo tudi druge ključne organizacije tako doma kot v svetu.

Na vrh

6. EMS in zdravje

Znano je, da s pomočjo EMS lahko talimo kovino in kuhamo hrano. Vendar pa, za razliko od ionizirnih sevanj, vsi priznani znanstveni dokazi kažejo, da imajo lahko EMS negativen vpliv na zdravje šele tedaj, ko je prekoračen določen prag izpostavljenosti.

Kot za veliko večino substanc ali agensov, lahko tudi EMS predstavljajo zdravstveno tveganje nad določenim pragom, ki je določen na podlagi obstoječih znanstvenih raziskav in predstavlja temelj mednarodnim smernicam ICNIRP.

V zadnjih letih so se številne študije ukvarjale z vprašanjem, ali lahko EMS zaradi različnih virov EMS povzročajo ali pospešujejo raka. V ospredju raziskav so nedvomno mobilni telefoni ter daljnovodi.

Leta 2002 je Mednarodna agencija za raziskave raka (IARC) razvrstila magnetna polja ekstremno nizkih frekvenc med “možne kancerogene snovi za ljudi« (skupina 2B). To je temeljilo na epidemioloških študijah, ki so pokazale, da je pri otrocih, ki so izpostavljeni magnetnim poljem višjim od 0,3-0,4 µT (24-urno povprečje), večja verjetnost za razvoj levkemije.

Leta 2011 je Mednarodna agencija za raziskave raka (IARC) razvrstila visokofrekvenčna elektromagnetna sevanja v skupino možno kancerogenih snovi za ljudi.
Mednarodna agencija za raziskovanje raka (IARC) iz Lyona, ki deluje v okviru Svetovne zdravstvene organizacije (SZO), je maja 2011 po večletnih analizah in preučevanju raziskav razvrstila visokofrekvenčna elektromagnetna sevanja v skupino 2B, kar pomeni, da so tovrstna sevanja možno kancerogena za ljudi.
Ta pregled obstoječih raziskav se nanaša predvsem na možnost, da lahko izpostavljenost šibkim jakostim EMS povzroča zapoznele učinke, še posebno povečano tveganje za raka. Glavni razlog za to odločitev so ugotovitve o povečanem tveganju za pojav glioma, maligne vrste raka na možganih, zaradi uporabe mobilnih telefonov. Poudariti je potrebno, da povezava med izpostavljenostjo visokofrekvenčnim EMS zaradi mobilnega telefona in rakom v glavi zaradi nekonsistentnosti pri ugotavljanju izpostavljenosti in pomanjkanja podpore v drugih potrebnih raziskavah (predvsem verjetne razlage osnovnih mehanizmov) ne dosega ali ne zadošča kriterijem za nedvoumno potrditev vzročne povezave. Zato je potrebno ugotovljeno povezavo med visokofrekvenčnimi sevanji mobilnih telefonov in možganskim tumorjem razumeti kot šibko, a vendar pozitivno.

Na vrh

7. Mejne vrednosti

Mednarodne smernice in zakonodaja so namenjene varovanju zdravja ljudi pred negativnimi vplivi elektromagnetnih sevanj. Obstajajo mednarodni priporočila in zakonodaja, ki preprečuje čezmerno izpostavljenost EMS v naravnem in življenjskem okolju v različnih delih sveta (glej WHO).

Vlade posameznih držav sprejemajo predpise za omejevanje izpostavljenosti EMS. Večina predpisov s tega področja temelji na smernicah, ki jih določa Mednarodna komisija za varstvo pred neionizirnimi sevanji (International Commission on Non-Ionizing Radiation Protection – ICNIRP). Ta nevladna organizacija, ki služi kot svetovalno telo Svetovni znanstveni organizaciji, vrednoti rezultate znanstvenih raziskav z vsega sveta. Po pregledu, ki temelji na podrobnem preučevanju literature, ICNIRP izdela smernice, ki določajo mejne vrednosti izpostavljenosti (glej smernice ICNIRP).

Vlada Republike Slovenije je leta 1996 sprejela uredbo o elektromagnetnem sevanju v naravnem in življenjskem okolju (Uradni list RS, št. 70/96 link), ki temelji na priporočilih ICNIRP in natančno določa največje dovoljene ravni EMS.

Na vrh

8. Povzetek

Z izjemno hitrim razvojem novih tehnologij se človekovo bivalno in delovno okolje temeljito spreminjata. Umetno ustvarjena elektromagnetna sevanja (EMS) danes po jakosti že bistveno presegajo naravna. Številne raziskave kažejo, da lahko EMS v celotnem frekvenčnem področju nad določenim pragom jakosti negativno vplivajo na zdravje. Pri tem predstavljajo otroci in nosečnice potencialno še posebno izpostavljeni ciljni skupini.

Mejne vrednosti so lahko presežene na nekaterih delovnih mestih (telekomunikacije, industrija, zdravstvo…) in zahtevajo posebno pozornost in takojšnje ukrepanje. Nasprotno pa so sevalne obremenitve v našem bivalnem in naravnem okolju običajno daleč pod dovoljenimi mejnimi vrednostmi in dosegajo le nekaj odstotkov pragu, pri katerem so bili ugotovljeni in strokovno utemeljeni možni vplivi na zdravje.

Za dokočno oceno tveganja zaradi EMS so potrebne še dodatne raziskave, ki jih vodita in usmerjata ključne organizacije kot sta Svetovna zdravstvena oraganizacija (SZO), Mednarodna komisija za varstvo pred neionizirnimi sevanji .

Na vrh

.